无障碍浏览
新闻中心

当前位置:首页 > 新闻中心

【胸部肿瘤内科】临床研究助力晚期难治性肺鳞癌精准治疗

发布时间 :2026-04-02 16:15 | 来源:本网
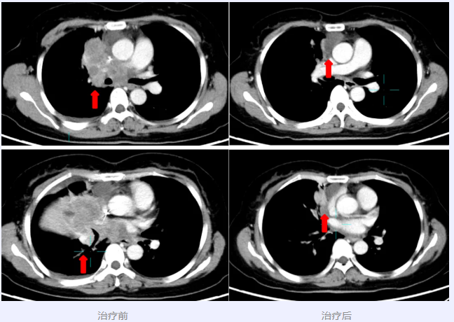
  近日,我院胸部肿瘤内科专家团队通过前沿临床研究药物精准干预,成功治疗一位晚期肺鳞癌患者,肿瘤病灶实现明显退缩。
  患者于2025年2月诊断为右肺鳞癌IV期,先后辗转多家医院接受治疗,1年不到的时间,已更换四种治疗方案,均未能有效控制病情,肿瘤进展迅速。2026年1月,患者慕名前往我院胸部肿瘤内科就诊,希望能找到新的治疗突破口,延续生命希望。
  林动主任医师团队接诊后,经全面评估,患者符合入组条件,成功加入“注射用SKB445治疗晚期实体瘤受试者的安全性、耐受性、药代动力学和抗肿瘤活性的Ⅰ期临床研究”,用药1周期后肿瘤即得到明显控制,疗效评估大PR(部分缓解)。

 
  林动主任医师介绍,临床研究不是“最后一试”,而是为晚期患者提供前沿治疗的重要途径。该例为难治性肺鳞癌,标准治疗失败后肿瘤快速进展。SKB445作为一种针对CDH3靶点的新型ADC药物,通过靶向特定抗原递送强效细胞毒素精准杀伤肿瘤细胞,兼具靶向性与高效低毒的特点。入组用药1周期疗效即达大PR,体现了创新药物潜在突破性疗效。期待更多患者通过科学探索,获得新生机。
  胸部肿瘤内科/供稿
  曾洪福/文
  何志勇/审
附件下载:
相关文档